좋아하던 음식도 마음껏 드시고, 사람들과 웃으며 이야기하세요.
디지털프라임치과가 당신의 편안한 일상을 돌려드립니다.
틀니가 잘 빠지고 불편해서 고민이세요?
예전으로 돌아가고 싶으신가요?
갈비도 뜯고.. 입가에 주름도 없고 팽팽하던 그때로...
혹시 당신 혹은 부모님의 이야기인가요?
많은 분들의 걱정,




그 걱정들, 이렇게 도와드려요
나사로 고정 식이라 넣었다 뺐다 하지 않아요.



자기 치아처럼 갈비도 뜯고
깍두기도 드실 수 있습니다.


대부분 앞쪽에는 뼈가 있어서
틀니 오래 끼신 분도
이렇게 기존에서 심으면 가능한 경우가 많아요









더군다나 디지털 가이드를 이용해서
뼈가 얇은 경우에도 정확하게 심을 수 있어요

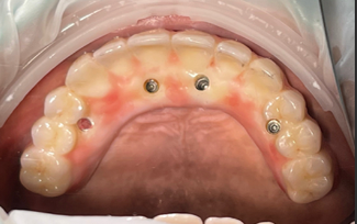
2018년 풀아치 환자분 (당시 40대 남자)
현재도 잘 사용중이세요
잇몸 반응도 지르코니아라 깨끗하구요
곱창집에서 곱창도 드시더라구요..
(곱창집 갔다가 우연히 마주침)







연구에서도 13년 성공률이 93프로에 달해요..
디지털 풀아치로
잃어버린 웃음을 되찾아 드립니다.









티타늄 바 케이스 (책에서 인용)

실제 환자분들의 깨끗한 통지르코니아 잇몸 반응
티타늄바는 꼭 필요한 경우에만 권해드립니다.환자분의 비용 부담을 줄이기 위해서입니다.
3년 내 보철이 깨지면 무상으로 다시 제작해드립니다. (필요시 티타늄바 넣어서)
원칙 지켜서 잘 만들면 지르코니아로 충분해요

ALL IMPLANT VS FULLARCH
“저도 풀아치를 할 수 있을까요?” 무조건 풀아치를 권하지 않습니다.
환자분께 가장 좋은 치료가 저희에게도 가장 좋은 치료이기 때문입니다.
틀니를 오래 사용하셨거나, 잇몸뼈가 전반적으로
많이 내려앉아 치아만 만들 경우
너무 깊이 보이는 분들에게 가장 이상적입니다.
치아를 뺄 지 않아도 잇몸뼈가 충분히 남아있는 분들은
잇몸 뼈를 삭제할 필요 없이, 치아만 만드는
전체 임플란트가 더 적합할 수 있습니다.
| 특징 | 디지털 풀아치 | 전체 임플란트 | 전통 틀니 |
|---|---|---|---|
| 씹는 힘 | 우수 (자연치의 약 80%) | 최우수 (자연치의 약 90~100%) | 미흡 (약 20~30%) |
| 뼈 이식 | 거의 불필요 | 필요한 경우 많음 | 해당 없음 |
| 편안함 | 고정식, 입천장 없음 | 고정식, 내 치아 같음 | 탈착식, 입천장 덮음 |
| 치료 음 | (약 2~3개월) | 장기(6개월~1년 이상) | 비교적 빠름 |
| 장기 안정성 | 매우 높음 (10년 후 93% 이상) | 매우 높음 | 재제작 필요 (5~7년 주기) |
| 전체 비용 | 높음 | 매우 높음 | 낮음(초기) |
네, 최소한의 절개로 수술해서 “생각보다 너무 괜찮았다”고 말씀하시는 분들이 대부분이에요. 수술 후 약간의 불편함은 약으로 충분히 조절 가능해요.
현재 턱 기준으로 보통 800만 원에서 1000만 원 사이로 생각하시면 돼요. 처음엔 싸게 불렀다가 나중에 추가되는 곳도 있으니 조심하셔야 해요. 저희는 처음부터 투명하게 총비용을 알려드리니 안심하세요.
아쉽게도 전체 치아를 다 하는 풀아치는 건강보험 적용이 어려워요.
만 65세 이상 보험은 치아가 하나라도 남아있어야 하거든요. 이런 부분까지 솔직하게 다 설명해 드려요.
관리만 잘하시면 10년 이상 쓰실 수 있어요.
저희가 정기적으로 꼼꼼하게 관리해 드리고, 집에서 어떻게 관리해야 하는지도 쉽게 알려드릴게요.
골질이 좋은 경우 고정이 30이상 나오는 경우엔 가능해요.
하지만 사진처럼 사람마다 골질이 다양해서 무리하면 탈이 날수 있습니다. 개인에 따라 달라요.




Fig.18.12 The four macroscopic bone qualities are (A) D1 (arrow), (B) D2, (C) D3 (arrow), and (D) D4. The bone-density variance is dependent on ana-tomic location and the local strain history of the bone after tooth loss.
당신의 마지막 치과가 되겠습니다
저희는 단순히 이를 만드는 기술자가 아니에요. 외할머니를 향한 아쉬운 마음으로,
환자 한 분 한 분의 잃어버린 인생 조각을 되찾아드리는 사람이라 믿습니다.
오랜 고민의 시간을 지나 여기까지 오셨다면, 이제 용기를 내어보세요.
상담은 치료를 강요하는 자리가 아니에요.
당신의 이야기를 듣고, 함께 고민하는 편안한 시간이 될 거예요.
더 이상 망설이지 마세요. 당신의 빛나는 미소를 되찾는 여정, 디지털프라임치과가 함께할게요.